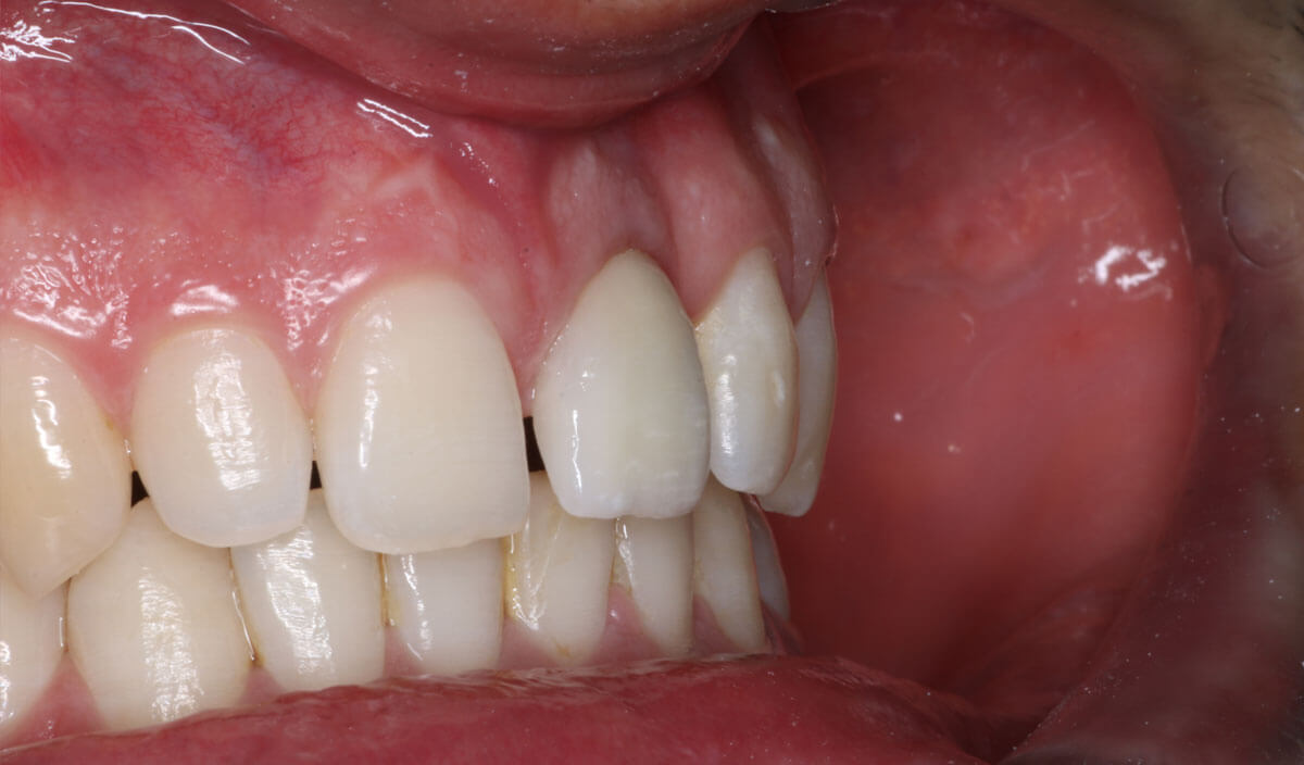
Anterior Crowns
A crown is sometimes referred to as a cap, which is a great description - it simply fits on top of an existing tooth. It can restore the shape, colour and function of your original tooth. Dr Cook prepared these teeth to the ideal shape for the crowns. This involved removing a layer of the outer surface, leaving a strong inner core. The amount of the tooth removed is the same as the thickness of the crown. Once the tooth was shaped, Dr Cook took an impression (mould) of the prepared tooth, one of the opposite jaw and another to show the way the teeth bite together. The impressions were then sent to a dental technician, along with information about the shade to use and any other information they needed. 10 days to 2 weeks later the crowns were ready to be fitted and give back this glorious smile.
Michael has transformed my smile, I can now smile with confidence. I am very pleased. Thank you Michael.
S.Fry