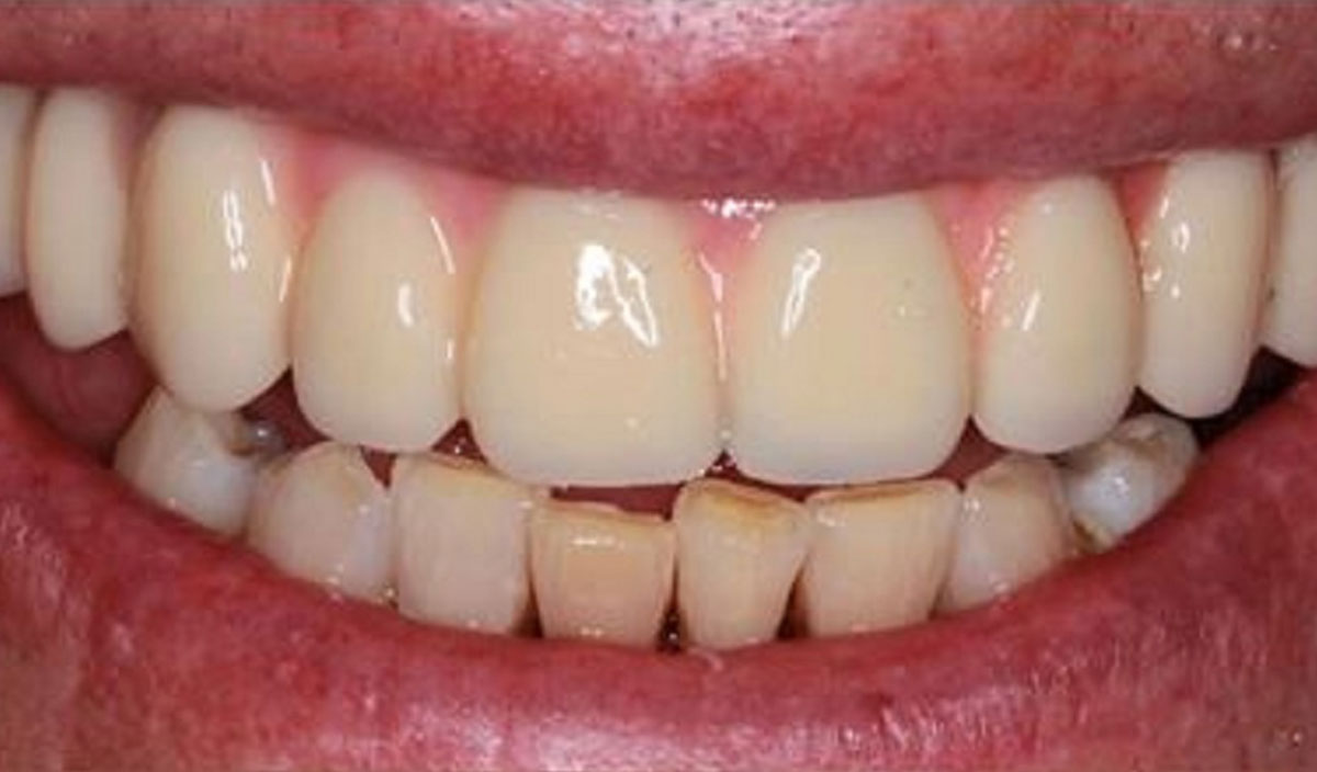
Cosmetic Crowns and Bridgework
This lady came to us as she wanted to replace her old, uneven crowns. She was unhappy with the shape, size, and colour of her crowns and also the denture that she had. After an appointment with her Dentist Muneera to discuss her options, we replaced her old crowns and made a bridge to replace her old denture.
I am extremely pleased with the treatment I have received. My teeth were very uneven in shape, size and colour before. Now they are even in all aspects and look very natural. My treatment was handled with care and I felt in safe, good hands throughout.
Jane