• Find a practice
  • Careers
  • Emergency
mydentist - helping the nation smile
  • Treatments
    • Affordable private dentistry
    • Teeth straightening
    • Dental implants
    • Teeth whitening
    • Composite bonding
  • Dental plan
  • Services
  • Clinicians
  • Referrals
  • Enquire now
  • Book online
  • Home /
  • Find a dentist /
  • Grange Road Hartlepool

The smile gallery

  • Cosmetic Crowns and Bridgework

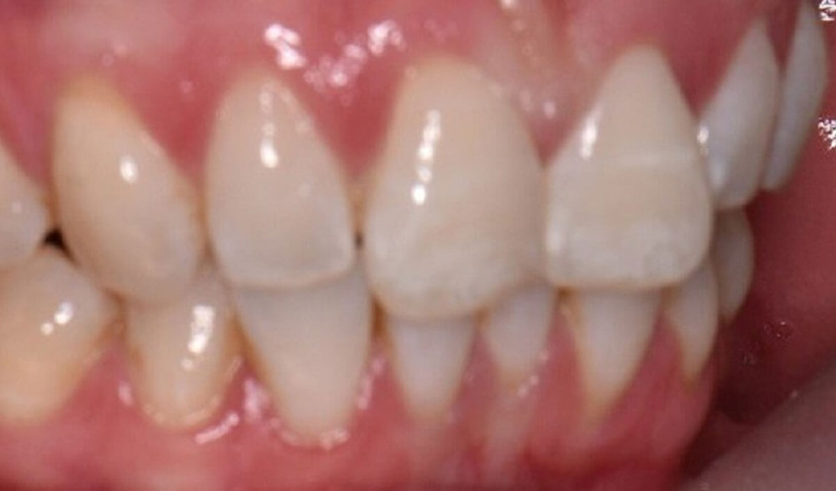
    This lady came to us as she wanted to replace her old, uneven crowns. She was unhappy with the shape, size, and colour of her crowns and also the denture that she had. After an appointment with her Dentist Muneera to discuss her options, we replaced her old crowns and made a bridge to replace her old denture.

    I am extremely pleased with the treatment I have received. My teeth were very uneven in shape, size and colour before. Now they are even in all aspects and look very natural. My treatment was handled with care and I felt in safe, good hands throughout.

    Jane

    • Before
    • After
  • Dental Implants

    This patient came to us as she had to have a tooth removed and was very anxious about having a gap in her smile. With Dental Implant treatment we have managed to restore this lady's smile with a lovely, natural finish.

    • Before
    • After
  • Enlighten Whitening

    This lady wanted to have her teeth whitened as she was happy with the appearance of her teeth but she felt they needed to be brighter so she would feel more confident smiling and talking. She decided to have Enlighten Whitening. This System guarantees a B1 shade (our whitest natural shade) and patient was really happy with her results.

    • Before
    • After
mydentist - helping the nation smile
Follow our Blog Join us on Facebook Follow us on Instagram Watch us on YouTube Follow us on LinkedIn Follow us on TikTok

Treatments

  • Teeth straightening
  • Dental implants
  • Teeth whitening
  • Composite bonding
  • Dentures
  • Dental bridges
  • Emergencies

Services

  • NHS treatments
  • Affordable private dentistry
  • Dental plan
  • Dental finance
  • New patients
  • Dental technology
  • Customer feedback
  • Your rights

Company information

  • About us
  • Contact us
  • Products
  • Blog
  • Charitable partners
  • Company information
  • Acquisitions
  • Academy
  • Careers
  • Sitemap

Privacy

  • Legal
  • Privacy
  • Patient privacy
  • Cookie policy
  • Cookie Settings

All content and images © 2025 mydentist. mydentist is a trading style of mydentist Group Limited whose Registered Office is at: Europa House, Europa Trading Estate, Stoneclough Road, Kearsley, Manchester, M26 1GG Whose Registered No is: 05657369. mydentist Group Limited as above is a member of the mydentist group. 

Proud to be
working with:

Care quality commission
Healthcare Inspectorate Wales
Rospa 2025 President's Award